Tooth loss can affect more than just your smile; it can impact your confidence, comfort, and quality of life. At Nova Premier Dental, we provide high-quality dental implants that offer a permanent, natural-looking solution for missing teeth. Whether you’re considering dental implants for seniors or exploring options after tooth loss, our experienced team in Falls Church, VA, is here to help you smile with confidence again.
Why Are Dental Implants a Trusted Solution for Tooth Replacement?
Unlike traditional dentures or bridges, dental implants are securely anchored into the jawbone, providing unmatched stability and strength. They function like natural teeth, allowing you to eat, speak, and smile without worry. Over time, they also help preserve bone density in the jaw, preventing the sunken facial appearance often associated with tooth loss. At Nova Premier Dental, we use advanced technology to ensure precision and comfort throughout the implant process.

Permanent Upper Implant Support Denture
Click here for more info on permanent implant dentures
Who Can Benefit Most from Dental Implants?
Dental implants are a versatile solution for adults of all ages. They are especially beneficial for those with missing teeth due to decay, trauma, or aging. For patients seeking dental implants for seniors, our team tailors treatment plans to address common age-related considerations like bone loss or medical history. We believe it’s never too late to reclaim your smile — and our patients agree.
What Makes Dental Implants Ideal for Seniors?
Seniors often find that removable dentures become uncomfortable or unreliable over time. Dental implants offer a more secure alternative. They stay firmly in place, making eating and speaking easier while eliminating the need for adhesives or nightly removal. At Nova Premier Dental, we assess bone density and overall health to ensure dental implants for seniors are placed with care and long-term success in mind.
Where Can You Get Expert Dental Implant Care in Falls Church?
Choosing the right provider is essential to the success of your dental implants. At Nova Premier Dental in Falls Church, VA, our team combines skill, experience, and compassionate care to deliver personalized treatment from consultation to final restoration. Whether you’re looking for a single implant or a full-arch solution, we’re committed to making your journey comfortable and rewarding.
Restore your confidence with dental implants designed to last. Contact us today to schedule your consultation and take the first step toward a healthier, fuller smile.
Frequently Asked Questions
Are dental implants an option for seniors with existing health conditions?
Yes, dental implants are a great option for seniors, even those with common health conditions like diabetes, high blood pressure, or osteoporosis. However, it’s important that any medical conditions are well-managed, as healing and bone integration may be affected. At Nova Premier Dental, we conduct a thorough medical and dental history review before recommending implants, ensuring each patient receives a treatment plan tailored to their overall health and needs.
What kind of post-treatment support does Nova Premier Dental provide?
After your dental implant procedure, we provide detailed aftercare instructions and schedule follow-up visits to monitor your healing and progress. If you ever have questions or concerns during your recovery, our team is just a phone call away. We’re committed to supporting you not just during treatment, but throughout the life of your dental implant. We schedule 3-4 month regular maintenance appointments where we may remove any implant supported denture for thorough cleaning of it and the supporting tissues.
Can Nova Premier Dental replace multiple missing teeth with implants?
Yes, we offer implant solutions for single tooth replacement, multiple teeth, or even full-arch restorations. If you’re missing several teeth, we may recommend implant-supported bridges or implant supported dentures, depending on your oral health and goals. Our team will work with you to find the most effective and affordable solution for restoring your full smile with stability, comfort and a healthy beautiful smile.

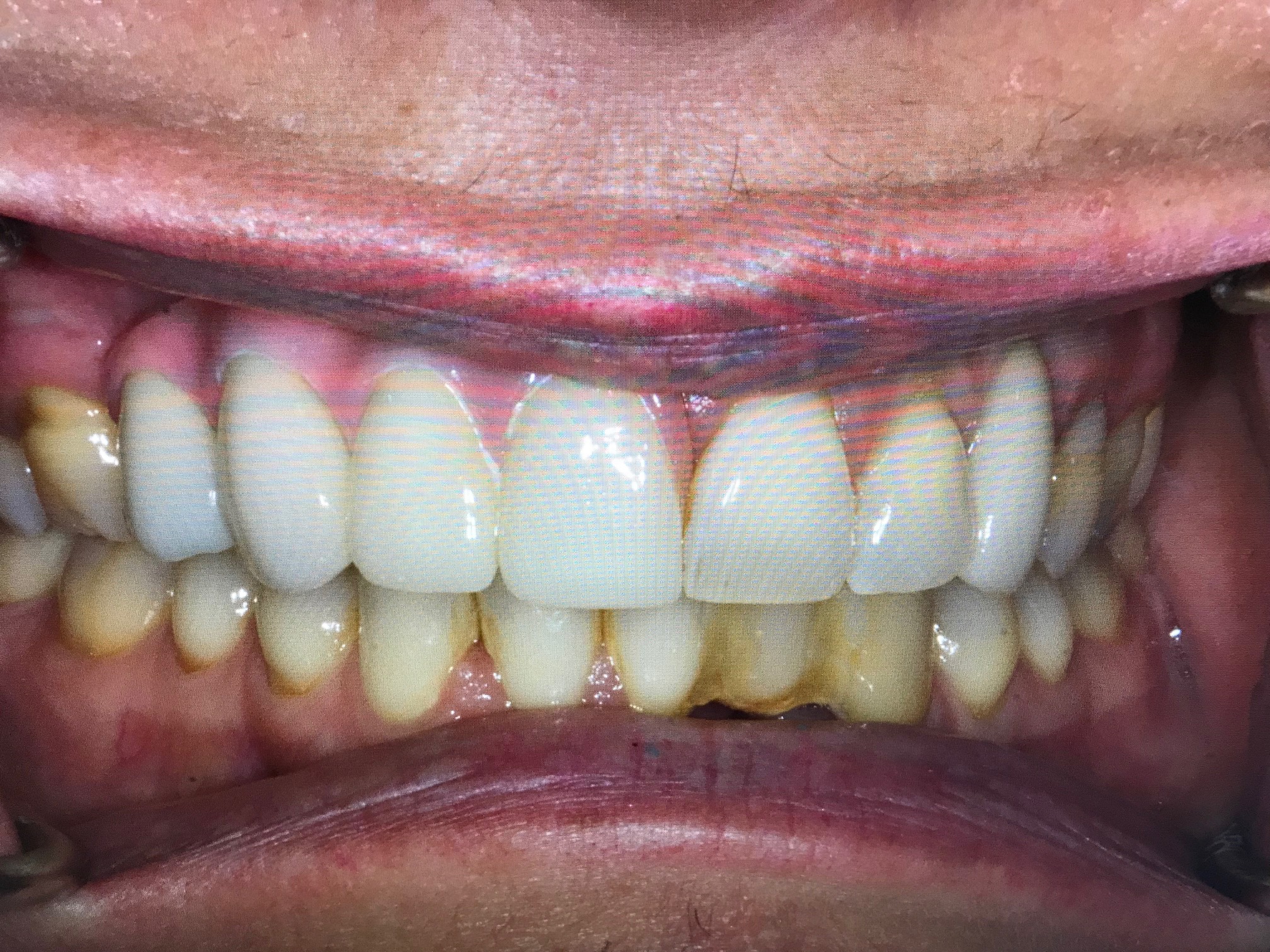
Implant Bridge to Replace 4 missing teeth

The Implant Bridge providing blends into a natural smile
Prosthodontics is the area of dentistry that focuses on dental prostheses. A prosthodontist is required when complicated dental treatments require a skill set above and beyond a general dentist might have to ensure restoring the optimal esthetics and function to your smile. A prosthodontist may work in conjunction with another dental specialist such as an oral surgeon to achieve your optimal outcome.
At Nova Premier Dental, we strive to make our dental clinic a comfortable welcoming home for you.You’ll always get individual services and the time that you need to make decisions. We understand that the choice between permanent dentures and another tooth-replacement option is a big one that will impact you for the rest of your life. We’re always happy to give a second opinion or go over the process with you again.
If you’re in McLean, VA or Falls Church, VA, and you have missing teeth, permanent dentures might be the right choice for you. Please schedule an appointment with Dr. Huang at Nova Premier Dental by calling us at (703) 532-7586